잇몸 염증 치료제 베스트 5
잇몸 염증은 치아 건강을 심각하게 위협하는 주요 요인 중 하나입니다. 잇몸이 붓고 피가 나거나 시린 증상이 나타난다면, 이는 잇몸 염증의 신호일 수 있습니다. 적절한 치료약을 통해 염증을 조기에 관리하고, 치아 건강을 유지하는 것이 중요합니다. 이 글에서는 잇몸 염증 치료에 효과적인 약품 5가지를 상세히 소개하겠습니다.
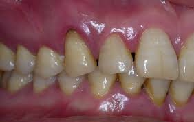
잇몸 염증의 주요 원인과 증상
잇몸 염증의 원인
잇몸 염증은 다양한 원인에 의해 발생할 수 있습니다. 가장 흔한 원인은 다음과 같습니다
- 불량한 구강 위생: 제대로 양치질을 하지 않으면 치아와 잇몸 사이에 플라그와 치석이 쌓입니다. 이러한 플라그와 치석은 세균의 번식을 촉진하여 염증을 유발합니다. 정기적인 양치질과 치실 사용으로 예방할 수 있습니다.
- 흡연: 담배 속의 니코틴은 혈관을 수축시켜 잇몸 조직에 혈액 공급을 방해하고 면역력을 저하시켜 염증을 악화시킵니다. 금연은 잇몸 건강을 지키는 중요한 방법입니다.
- 스트레스: 스트레스는 신체의 면역 체계를 약화시켜 염증을 유발하거나 악화시킬 수 있습니다. 스트레스 관리를 통해 염증을 예방할 수 있습니다.
- 영양 불균형: 비타민 C와 D 등의 영양소가 부족하면 잇몸이 약해지고 염증이 발생하기 쉽습니다. 균형 잡힌 식단이 중요합니다.
- 호르몬 변화: 임신, 생리, 폐경 등 호르몬 변화는 잇몸을 민감하게 만들어 염증을 쉽게 일으킬 수 있습니다. 이 시기에는 구강 관리를 더욱 철저히 해야 합니다.
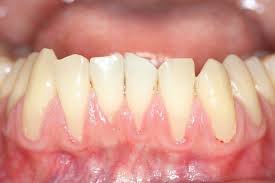
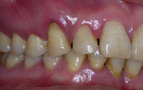
잇몸 염증의 증상
잇몸 염증은 초기에는 경미한 증상으로 시작되지만, 방치하면 치주염으로 발전하여 심각한 치아 문제를 일으킬 수 있습니다. 주요 증상은 다음과 같습니다:
- 잇몸 출혈: 양치질이나 치실 사용 시 피가 나는 경우
- 잇몸 부기: 잇몸이 붓고 붉게 변하는 경우
- 잇몸 통증: 잇몸이 아프거나 시린 증상이 나타나는 경우
- 구취: 입에서 지속적으로 불쾌한 냄새가 나는 경우
- 치아 이동: 잇몸이 약해져 치아가 흔들리거나 이동하는 경우






잇몸 염증 치료약 베스트 5
- 항생제 (Amoxicillin, Metronidazole, Clindamycin)
항생제는 세균 감염으로 인한 잇몸 염증 치료에 가장 많이 사용되는 약물입니다. 특히 아목시실린, 메트로니다졸, 클린다마이신은 잇몸 염증 치료에 효과적입니다.
- 아목시실린 (Amoxicillin): 광범위한 세균을 대상으로 효과가 있으며, 특히 급성 잇몸 염증 치료에 사용됩니다.
- 메트로니다졸 (Metronidazole): 혐기성 세균에 대한 강력한 항균 효과가 있어 치주염 치료에 자주 사용됩니다.
- 클린다마이신 (Clindamycin): 다른 항생제에 내성이 있는 경우 사용되며, 염증 감소에 도움을 줍니다.
사용법: 항생제는 정해진 기간 동안 꾸준히 복용해야 하며, 증상이 완화되었다고 임의로 복용을 중단하면 내성균이 발생할 수 있습니다.
주의사항: 항생제 복용 시 설사, 복통, 구토 등의 부작용이 나타날 수 있으며, 알레르기 반응이 있는 경우 즉시 복용을 중단하고 의사와 상담해야 합니다.
- 소염진통제 (Ibuprofen, Naproxen)
소염진통제는 잇몸 염증으로 인한 통증과 부기를 가라앉히는 데 효과적입니다. 이부프로펜과 나프록센은 대표적인 소염진통제입니다.
- 이부프로펜 (Ibuprofen): 항염증 효과가 뛰어나며, 통증 완화에도 탁월합니다.
- 나프록센 (Naproxen): 이부프로펜과 유사한 효능을 가지며, 장시간 지속되는 통증에 효과적입니다.
사용법: 소염진통제는 통증이 심할 때 복용하며, 공복 상태에서 복용하는 것은 피해야 합니다.
주의사항: 위장 장애, 속쓰림, 어지럼증 등의 부작용이 있을 수 있으므로, 장기간 복용 시 의사와 상담하는 것이 좋습니다.
- 항균제 (Chlorhexidine, Hexamedine)
항균제는 잇몸 염증을 유발하는 세균을 제거하는 데 사용됩니다. 클로르헥시딘과 헥사메딘이 대표적인 항균제입니다.
- 클로르헥시딘 (Chlorhexidine): 강력한 항균 효과가 있어 가글액으로 사용 시 잇몸 염증을 예방하고 치료하는 데 효과적입니다.
- 헥사메딘 (Hexamedine): 클로르헥시딘과 유사한 항균 효과를 가지며, 구강 내 세균을 제거하는 데 사용됩니다.
사용법: 항균제는 가글액, 젤, 스프레이 등의 형태로 사용할 수 있으며, 제품 설명서를 참고하여 올바르게 사용해야 합니다.
주의사항: 구강 건조, 미각 변화, 치아 변색 등의 부작용이 나타날 수 있으므로, 장기간 사용 시 주의가 필요합니다.
- 스테로이드제 (Dexamethasone, Prednisone)
스테로이드제는 염증을 빠르게 가라앉히는 데 효과적입니다. 대표적인 스테로이드제로는 덱사메타손과 프레드니손이 있습니다.
- 덱사메타손 (Dexamethasone): 강력한 항염증 효과가 있으며, 급성 염증을 신속하게 완화시킵니다.
- 프레드니손 (Prednisone): 장기간 사용 시 부작용이 적어 만성 염증 치료에 사용됩니다.
사용법: 스테로이드제는 의사의 처방에 따라 사용하며, 장기간 사용 시 의사의 지시에 따라 서서히 감량하여 중단해야 합니다.
주의사항: 구강 칸디다증, 면역력 저하, 골다공증 등의 부작용이 있을 수 있으며, 장기간 사용 시 반드시 의사와 상담해야 합니다.
- 천연 치료제 (녹차 추출물, 프로폴리스)
천연 치료제는 부작용이 적고, 잇몸 염증을 예방하고 완화하는 데 효과적입니다. 녹차 추출물과 프로폴리스는 대표적인 천연 치료제입니다.
- 녹차 추출물: 강력한 항산화 및 항염증 효과가 있어 잇몸 염증을 예방하고 치료하는 데 도움을 줍니다.
- 프로폴리스: 항균, 항염, 항산화 효과가 뛰어나 구강 건강을 유지하는 데 효과적입니다.
사용법: 천연 치료제는 차, 가글액, 스프레이 등 다양한 형태로 사용 가능하며, 일상적인 구강 관리에 포함시키는 것이 좋습니다.
주의사항: 천연 성분에 알레르기가 있는 경우 사용을 피해야 하며, 사용 전 전문가와 상담하는 것이 좋습니다.









잇몸 염증 예방을 위한 생활 습관
- 올바른 양치질 습관
- 하루 3번, 식후 3분 이내에 3분 동안 꼼꼼하게 양치질하는 것이 중요합니다. 칫솔질과 함께 치실, 치간칫솔을 사용하여 치아 사이사이까지 깨끗하게 닦아줍니다. 양치질 시 잇몸을 너무 세게 문지르지 않도록 주의하며, 부드러운 칫솔을 사용해 잇몸을 마사지하는 것이 좋습니다.
- 정기적인 치과 방문
- 6개월에 한 번 치과를 방문하여 스케일링을 받으면 치석을 제거하고 잇몸 염증을 예방하는 데 도움이 됩니다. 또한, 정기적인 검진을
- 금연
- 흡연은 잇몸 염증의 가장 큰 위험 요인입니다. 금연을 통해 잇몸 건강을 지키는 것이 중요합니다. 금연은 잇몸 염증뿐만 아니라 전반적인 구강 건강에도 긍정적인 영향을 미칩니다. 금연을 결심하고 지속하는 것이 장기적인 구강 건강 유지에 필수적입니다.
- 균형 잡힌 식단
- 비타민 C, 비타민 D 등 잇몸 건강에 필요한 영양소를 충분히 섭취하는 것이 중요합니다. 과일과 채소, 견과류, 생선 등을 포함한 균형 잡힌 식단을 유지하면 잇몸 염증을 예방할 수 있습니다. 특히, 항염증 성분이 풍부한 식품을 섭취하는 것이 좋습니다.
- 스트레스 관리
- 스트레스는 면역력을 약화시켜 잇몸 염증을 유발하거나 악화시킬 수 있습니다. 규칙적인 운동, 취미 활동, 명상 등을 통해 스트레스를 관리하는 것이 중요합니다. 스트레스가 심할 경우 전문가의 도움을 받는 것도 좋은 방법입니다.












결론
잇몸 염증은 방치하면 치아 손실까지 이어질 수 있는 심각한 질환입니다. 하지만 적절한 치료약과 생활 습관 개선을 통해 예방하고 관리할 수 있습니다. 항생제, 소염진통제, 항균제, 스테로이드제, 천연 치료제 등의 다양한 치료약을 올바르게 사용하고, 정기적인 치과 검진과 구강 위생 관리로 건강한 잇몸을 유지하시기 바랍니다. 잇몸 염증 증상이 나타나면 즉시 치과를 방문하여 진료를 받고, 건강한 생활 습관을 유지하여 잇몸 건강을 지키세요. 올바른 구강 관리는 건강한 삶의 필수 조건이며, 작은 노력으로 큰 변화를 이끌어낼 수 있습니다.

댓글